订购ABBIOTEC抗体、多肽8.5折,年终订购华拓产品即送礼!
1054 人阅读发布时间:2014-12-02 11:42
|
活动内容:
年终活动:针对全国科研客户,14年12月-15年2月31日
1. 购买深圳豪地华拓公司任一产品,即可获得京东价值50元购物卡!
2. 购买深圳豪地华拓公司一抗两支,即可免费获得 相应二抗1支或京东价值100元购物卡!
3. 购买深圳豪地华拓公司任一产品,可获得相应积分,并可累积,在2015年1月新网站支
持注册会员,订购产品可累积积分。
2015年即将开启:公司新网站上线后支持会员注册,仅限定2015年内积分送礼,1元=1积分。
累积积分50000分送iPhone-6手机一台, 积分38000分送iPad-mini3一台。
|
|
|
|
|
| ABBIOTEC offers over 4,000 antibodies against biological targets investigated in academic and pharmaceuticals institutions. We focus on developing monoclonal and polyclonal antibodies that are unique in binding a new epitope or in recognizing a new target. Browse our catalog for rabbit, mouse and rat antibodies that are developed for ELISA, western blot, IHC and flow cytometry applications.
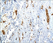
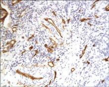
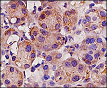
热门抗体示例,点击可查看更多详细信息:
CD4 (Cat. No. 250592) CD8 (Cat. No. 250596) CD19 (Cat. No. 250585) 
CD34 (Cat. No. 250591) CD31 (Cat. No. 250590) CD68 (Cat. No. 250594)
IL-10 (Cat. No. 250713) TNF-alpha (Cat. No. 250844) BRCA1 (Cat. No. 200160) 
|
|
|
|
抗体品牌: Abbiotec
厂家位置: 美国圣地亚哥
价格范围: 3000-3500元
一般货期: 3周
厂家网址: www.abbiotec.com
相关文献: www.abbiotec.com/support/product-citations
技术支持: ABBIOTEC, LLC
techsupport@abbiotec.com
www.abbiotec.com
订 购: 深圳市豪地华拓生物科技有限公司 www.otwobiotech.com
授权代理:深圳市豪地华拓生物科技有限公司
Otwo Biotech (Shenzhen) Inc
授权信息: http://www.abbiotec.com/distributors/asia-&-pacific-rim
电话(TEL)0755-26055215 13265824656
地址(ADDRESS) 深圳南山区创业路中兴工业城5栋4-5楼
5th Building ZhongXing Industrail City .
Chuangye Road,NanShan ,Shenzhen, 518054