深圳市豪地华拓生物科技有限公司品牌商

14

手机商铺

qrcode
商家活跃:
产品热度:
  • NaN
  • 0.3999999999999999
  • 0.3999999999999999
  • 2.4
  • 2.4
品牌商

深圳市豪地华拓生物科技有限公司

入驻年限:14

  • 联系人:

    丁先生

  • 所在地区:

    广东 深圳市 南山区

  • 业务范围:

    试剂、抗体、细胞库 / 细胞培养、技术服务、ELISA 试剂盒

  • 经营模式:

    经销商 代理商 生产厂商

在线沟通

公司新闻/正文

【ABBIOTEC】独家授权总代理正品抗体现货促销!

1471 人阅读发布时间:2017-09-01 11:21

华拓是Abbiotec在中国大陆及港澳地区唯一代理,产品无水货途径,欢迎联系订购!(可以在官网产品页面把USA换成China,联系方式Order就是我们)
官网授权链接:
http://abbiotec.com/distributors/asia-&-pacific-rim

最近,国内市场上出现假冒Abbiotec的伪劣产品,导致老师的实验受到很大影响。假冒公司一般只做很多品牌宣传推广,无具体产品信息,无授权证明。假冒产品价格相对低,质量差,无售后保障。为保障实验结果,我们郑重建议各位客户及经销商:在选购Abbiotec产品时,可直接咨询Abbiotec中国授权总代--深圳市豪地华拓生物科技有限公司,订购时务必确认产品为正规来源。

ABBIOTEC产品提供质量保证,提供完善的售后和技术支持,ABBIOTEC产品正品包装:
【ABBIOTEC】独家授权总代理正品抗体现货促销!         【ABBIOTEC】独家授权总代理正品抗体现货促销! 

深圳市豪地华拓生物科技有限公司为Abbiotec中国大陆唯一授权代理(保证国内正品最优惠价格,售后完善)
Otwo Biotech (shenzhen) Inc.


ABBIOTEC官网授权信息:
http://www.abbiotec.com/distributors/asia-&-pacific-rim



中国唯一代理授权书:
【ABBIOTEC】独家授权总代理正品抗体现货促销!

       希望大家从正规代理进行购买,以得到最佳的服务和质量保证。对于假货或水货,因进货渠道不明,运输条件不合规格,产品效用不明,Abbiotec恕不授理售后技术支持和质量投诉事宜。感谢大家的理解与支持!

       另外,为防止假冒,Abbiotec公司,做了很多工作,例如把中国地区的联系方式直接改为中国指定代理:如下图,页面上端选择--china

【ABBIOTEC】独家授权总代理正品抗体现货促销!

【品牌抗体】Abbiotec 抗体促销活动部分抗体85折!

 
【ABBIOTEC】独家授权总代理正品抗体现货促销!点击查询抗体
View this email in your browser
【ABBIOTEC】独家授权总代理正品抗体现货促销!
 

ABBIOTEC offers over 4,000 antibodies against biological targets investigated in academic and pharmaceuticals institutions. We focus on developing monoclonal and polyclonal antibodies that are unique in binding a new epitope or in recognizing a new target. Browse our catalog for rabbit, mouse and rat antibodies that are developed for ELISAwestern blot, IHC and flow cytometry applications.

 热门抗体示例,点击可查看更多详细信息:

CD4 (Cat. No. 250592)                     CD8 (Cat. No. 250596)                     CD19 (Cat. No. 250585)

【ABBIOTEC】独家授权总代理正品抗体现货促销!                   【ABBIOTEC】独家授权总代理正品抗体现货促销!                     【ABBIOTEC】独家授权总代理正品抗体现货促销!

 

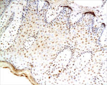
CD34 (Cat. No. 250591)                     CD31 (Cat. No. 250590)                  CD68 (Cat. No. 250594) 
 【ABBIOTEC】独家授权总代理正品抗体现货促销!                    【ABBIOTEC】独家授权总代理正品抗体现货促销!                      【ABBIOTEC】独家授权总代理正品抗体现货促销!

 

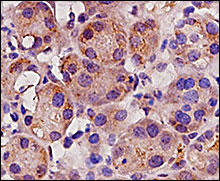
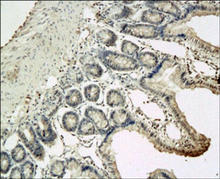
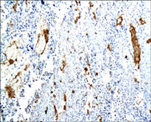
IL-10 (Cat. No. 250713)                    TNF-alpha (Cat. No. 250844)           BRCA1 (Cat. No. 200160) 
【ABBIOTEC】独家授权总代理正品抗体现货促销!      The IL-10 Antibody (Cat. No. 250713) is used in Western blot to detect IL-10 in rat pancreas tissue lysate.           【ABBIOTEC】独家授权总代理正品抗体现货促销!                    【ABBIOTEC】独家授权总代理正品抗体现货促销! The BRCA1 Antibody (Cat. No. 200160) is used in Western blot to detect BRCA1 in rat ovary tissue lysate (data kindly provided by Dr. Anand Krishnan, University of Calgary).


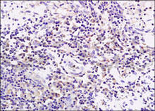
Angiotensin II(Cat.NO.251229)                                  BrdU (Cat.NO.250563) 
【ABBIOTEC】独家授权总代理正品抗体现货促销!                               【ABBIOTEC】独家授权总代理正品抗体现货促销!   【ABBIOTEC】独家授权总代理正品抗体现货促销!
ABBIOTEC is a biotech company founded in 2007 in San Diego, California, a renowned world-class Life Sciences cluster that hosts more than 1,500 research labs and biotech companies. We are focused on developing, producing and commercializing next generation antibodies and unique reagents for the Life Sciences research community including the diagnostic and pharmaceutical markets.
ABBIOTEC offers years of expertise making antibodies and assay kits for catalog products to the scientific and biotech community. With our recently upgraded animal facility, we offer now larger scalepolyclonal antibody production made in USA.
 

                                                                                                                                                                                                        
抗体品牌:        Abbiotec  
厂家位置:        美国圣地亚哥  
价格范围:        3000-3500元  
一般货期:        3周  
厂家网址:        www.abbiotec.com  
相关文献:         www.abbiotec.com/support/product-citations  
技术支持:         ABBIOTEC, LLC
                           techsupport@abbiotec.com 
 
                           www.abbiotec.com   

                                                                                                                                                                                                        
ABBIOTEC, LLC
7985 Dunbrook Road, Suite A
San Diego, CA 92126
858.586.0500

info@abbiotec.com
www.abbiotec.com
unsubscribe from this list    update subscription preferences 

 

上一篇

【多肽合成】美国ABBIOTEC国外多肽合成公司提供高品质服务!

下一篇

ABBIOTEC代理声明

更多资讯

我的询价